RĂNG - HÀM - MẶT
Cậu bé mang hàm răng "ma cà rồng"
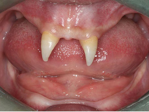
Wang Pengfei, 16 tuổi, sống tại thành phố Trùng Khánh, tây nam Trung Quốc. Sinh ra đã mắc phải một chứng bệnh lạ, Pengfei có rất ít tóc và chỉ mọc duy nhất 2 chiếc răng nhọn hoắt.
Bà Wang Hui - mẹ của Pengfei đã đưa cậu đến bệnh viện địa phương
để kiểm tra y tế hồi đầu tuần. Bà Wang cũng đã nhiều lần đưa con đi khám với
mong muốn sẽ có cách chữa trị hàm răng cho con trai nhưng đều không nhận được
kết quả khả quan.

Cậu bé Trung Quốc có hàm răng phát triển lạ kỳ
Theo các bác sĩ ở bệnh viện Tây Nam, Pengfei chỉ có thể phẫu thuật
khi ở tuổi trưởng thành. Chi phí cho ca phẫu thuật này là khoảng 70.000 đến
80.000 nhân dân tệ (tương đương 235 đến 270 triệu đồng).

Hình chụp X-quang của Wang Pengfei
Bà Wang vô cùng lo lắng về tình trạng của con trai, cậu luôn thu
mình vào thế giới riêng và cô lập với mọi người trong suốt thời gian niên
thiếu.
Wang Pengfei đã tấn công bạn bè cùng lớp khi họ nhìn chằm chằm
hoặc thì thầm bàn tán về cậu. Cậu bé rất mất tự tin với tình trạng của mình,
thậm chí cậu còn không bao giờ chịu chụp hình.
Mẹ của Pengfei cho biết: “Tôi rất lo lắng, thằng bé không có bạn
bè và dần dần nhận ra rằng nó khác với những đứa trẻ khác”.
Theo Linh San (Người lao động)







